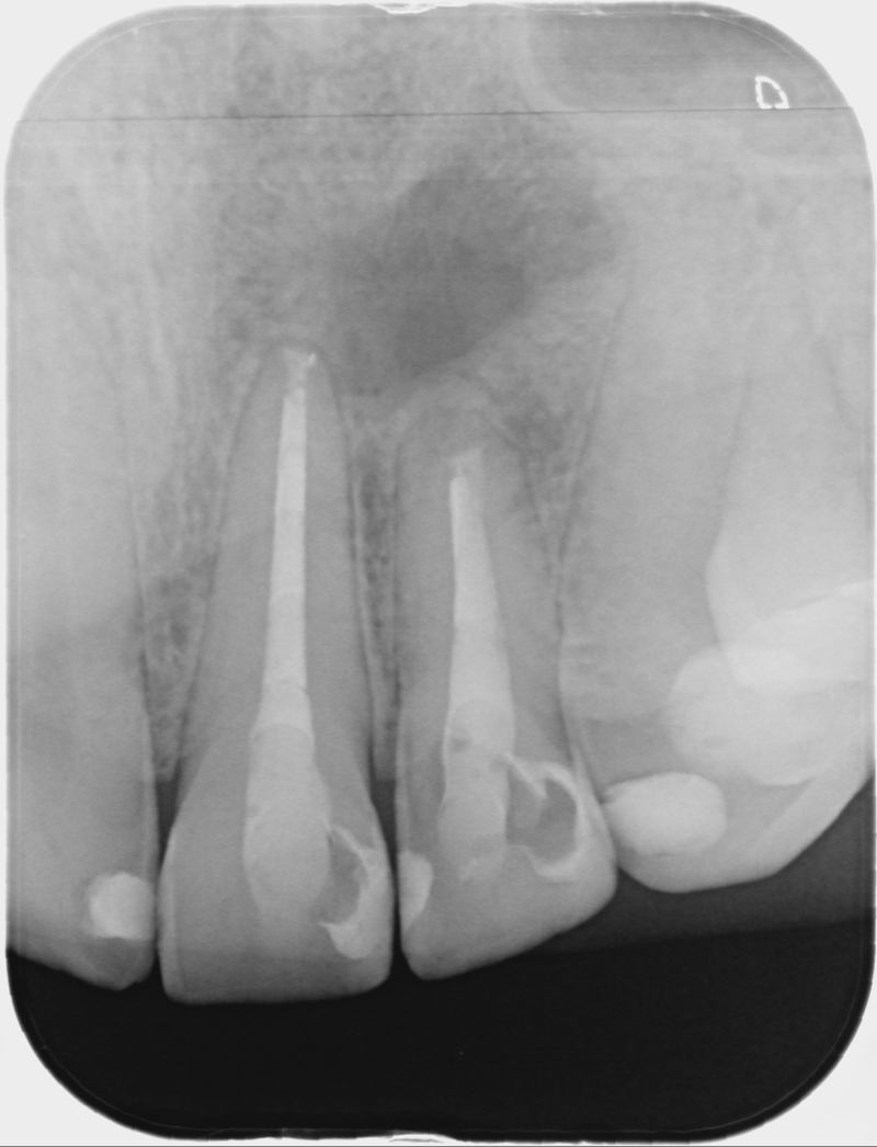
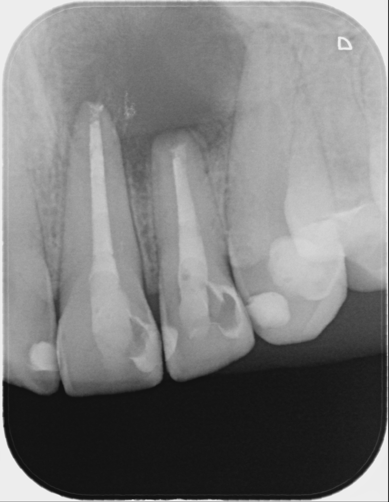
• Klinické vyšetření a rtg 2D a 3D diagnostika v reendodoncii, posuzování kvality předchozího
endodontického ošetření, množství a kvalita tvrdých zubních tkání, vertikální infrakce
a fraktury, resorpce, hluboký aproximální kaz.
• Rozhodovací protokoly před ošetřením, extrahovat či zachovat zub, možnosti periapikální
chirurgie, jak extrahovat před implantací.
• Snímání fixní protetiky, ferule, preendodontické ošetření, zajištění suchého a sterilního
operačního pole.
• Trepanace, zvětšovací technika, odstraňování pastových i gutaperčových výplní kořenových
kanálků, vhodné rotační NiTi systémy na reendodontické ošetření, výplachový protokol,
odstraňování zbytků kořenových výplní, problematika otevřeného apexu, stavění krvácení.
• Definitivní plnění kořenových kanálků, hydraulická metoda, biokeramické sealery, vhodné
postendodontické ošetření.
• Komplikace, zhodnocení výsledků léčby, jednofázové vs. dvoufázové ošetření ...







