Michal Dvořák

Martin Kikuš




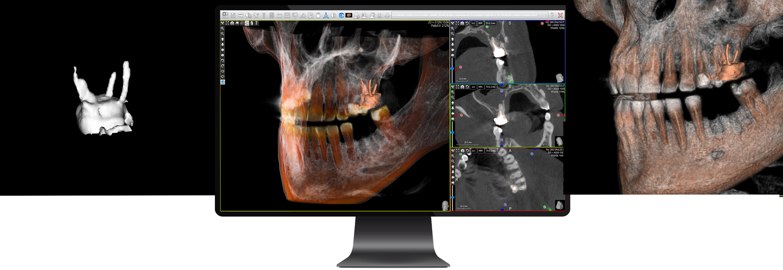
Imaging software od Acteon Satelec a Fénix dental, to je vynikající vizualizace pro nejnáročnější výsledky. Pomocí nejuznávanějšího zobrazovacího 3D softwaru a nejmodernějších technologií máte na výběr z mnoha diagnostických a plánovacích funkcí. 3D software je celý v českém jazyce a lze jej využívat například pro plánování implantátů, pro přesnou endodontickou diagnostiku, sledování nervu v mandibulárním kanálu a mnoho dalšího. Vynikající kvalita 3D obrazu zajistí jednoduchou a efektivní práci a ušetří váš čas. Pokud máte jakýkoliv dotaz ohledně 3D CBCT kontaktujte nás buďto skrze kontaktní formulář, telefonicky nebo kontaktujte svého obchodního zástupce.