




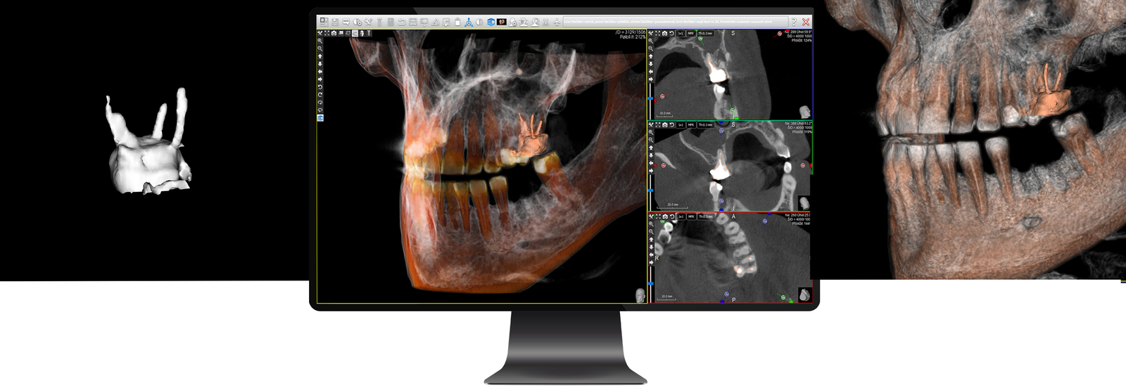
3D CBCT zobrazení pro endodoncii je dostupnější než kdy dříve a nabízí nejen chytré a kompaktní řešení. Diagnostikujte pomocí nejvyšší kvality 2D a 3D snímků. Přístroje X-Mind od ACTEON SATELEC poskytují mimo jiné využití pro dokonalou diagnostiku endodontických případů. Využijete ji zejména před reendodoncií, před ošetřením komplikovaných kořenových kanálků atd. Ovládací software je v českém jazyce, a proto zajistí jednoduché ovládání všem uživatelům Vašeho týmu. Pokud máte jakýkoliv dotaz ohledně přístrojů, kontaktujte nás pomocí kontaktního formuláře, telefonicky nebo kontaktujte svého obchodního zástupce. Ovládací software a možnosti využití přístrojů je možné vyzkoušet a zjistit o nich více na našich praktických kurzech, které pořádáme po celé ČR. Termíny a možnost přihlášení najdete v sekci Školení.